علائم آرتروز زانو کدامند؟ برای پیشگیری از ابتلا چه باید کرد؟

علائم آرتروز زانو ممکن است شامل موارد زیر باشد:
درد زانو یکی از علائم اصلی آرتروز زانو است. این درد معمولاً به طور تدریجی شدیدتر می‌شود و ممکن است در طول فعالیت‌های روزمره مانند پلمپ صعود و نزول پله‌ها، خم شدن و خم شدن زانو وتی در استراحت نیز احساس شود،یکی دیگر از علائم آرتروز زانو باعث میشود که منجر به سفتی محدودیت حرکت زانو شود. این ممکن است باعث مشکلات در انجام فعالیت‌های روزمره مانند خم شدن و خم شدن زانو، نشستن و بلند شدن از صندلی و پیاده روی شود. در برخی موارد، آرتروز زانو ممکن است منجر به تورم و التهاب زانو شود. این تورم معمولاً در ناحیه مفصل  قراری‌گیرد و ممکن است با درد و سفتی همراه باشد. آرتروزانو می‌تواند منجر به صداهای غیرطبیعی در زانو شود. این صداها ممکن است عمل خراشیدن، خرچنگی یا صدای خرد شدن باشد.

معاینه آرتروز زانو توسط پزشک متخصص

علت های مبتلا شدن به آرتروز زانو

آرتروز زانو یک بیماری مفصلی است که به تخریب و آسیب به بافت های مفصل زانو منجر می شود. علل ایجاد آرتروز زانو ممکن است شامل موارد زیر باشد:

  1. پیری: روند پیری طبیعی بدن ممکن است منجر به تخریب تدریجی بافت های مفصل زانو شود.
  2. آسیب مکانیکی: آسیب های مکانیکی مانند شکستگی، ضربه، جراحات قدیمی و آسیب های ورزشی می توانند باعث آسیب به بافت های مفصل زانو شوند و در نتیجه آرتروز زانو را ایجاد کنند.
  3. ژنتیک:برخی از افراد ممکن است به دلیل وجود عوامل ژنتیکی، از جمله نقص های ساختاری مفصل زانو، به طور مرتب آرتروز زانو تجربه کنند.
  4. عوامل مرتبط با وزن: چاقی و اضافه وزن می تواند باریادی را بر روی مفصل زانو ایجاد کند و باعث تخریب سریعتر بافت های مفصل شود.
  5. التهاب مفصل: برخیز بیماری های التهابی مانند التهاب مفاصل روماتوئید،آرتریت مفصلی و جوانه‌های مفصلی می توانند به تخریب بافت های مفصل زانو منجر شوند.
  6. عوامل محیطی: عوامل محیطی مانند استفاده بیش از حد از زانو در فعالیت های روزمره، استفاده درست از وسایل پشتیبانی مانند کفش نامناسب و فعالیت های ورزشی نامناسب می توانند به تخریب مفصل زانو و آرتروز زانو منجر شوند.

مهم است بدانید که این فقط چند مثال از علل ایجاد آرتروز زانو هستند، ولی علت دقیق برای هر فرد ممکن است متفاوت باشد.

تشخیص ابتلا به آرتروز زانو چگونه است؟

آرتروز زانو یک بیماری التهابی است که با تخریب تدریجی غضروف زانو همراه است. معمولاً در قسمت جلوی زانو و در حین استفاده از زانو (مثلاً در حین راه رفتن یا پله‌رفتن) احساس می‌شود. درد ممکن است در طول روز تشدید شود و با استراحت کاهش یابد؛ زانو ممکن است سفت شده و حرکت آن محدود شود. این ممکن است باعث مشکلات در انجامعالیت‌های روزمره شود. همچنین زانو ممکن است تورم کند و در برخی موارد التهاب نیز رخ دهد.

برای تشخیص آرتروز زانو، پزشک ممکن است از روش‌های زیر استفاده کند:

  1. معاینه فیزیکی: پزشک با بررسیانو و انجام جابجایی‌ها و تست‌های خاص می‌تواند علائم و نشانه‌های آرتروز را تشخیص دهد.
  2. تاریخچه بیماری: پزشک ممکن است سوالاتی درباره علائم، شدت درد، عوامل تشدید کننده تسکین دهنده درد و سابقه بیماری را از شما بپرسد.
  3. تصویربرداری: انجام ایکس‌ری زانو می‌تواند به پزشک کمک کند تا تغییرات در ساختار زانو را مشاهده کند. در مواردی که نیاز به تشخیص دقیق‌تر است،ممکن است از روش‌های تصویربرداری پیشرفته‌تر مانند آندوسکوپی یا MRI استفاده شود.

با توجه به اینکه من یک چت‌بات هستم و نمی‌توانم معاینه فیزیکی انجام دهم، توصیهی‌کنم با پزشک خود مشورت کنید تا تشخیص دقیق و درمان مناسب را برای شما تعیین کند.

آرتروز زانو باعث کم شدن تحرک افراد میشود

داروهای مکمل برای درمان آرتروز زانو

درمان آرتروز زانو معمولاً شامل ترکیبی از روش‌های غیردارویی و دارویی است. درمان دارویی آرتروز زانو به منظور کاهش التهاب، کنترل درد و بهبود عملکرد مفصل انجام می‌شود. در زیر چندین روش درمان دارویی آرتروز زانو ذکر شده است:

  1. ضدالتهاب‌های غیراستروئیدی (NSAIDs): این دسته از داروها شامل ایبوپروفن، ناپروکسن و دیکلوفناک می‌شوند. آنها به عنوان ضد التهاب و کاهش دهنده درد عمل می‌کنند.
  2. استروئیدها: استفاده از استروئیدها مانند پردنیزولون و متیل پردنیزولون می‌تواند در کاهش التهاب و درد مفید باشد. با این حال، استفادهلند مدت از استروئیدها ممکن است عوارض جانبی جدی داشته باشد و بنابراین باید تحت نظارت پزشک قرار گیرید.
  3. مکمل‌های غذایی: برخی مکمل‌های غذایی مانند گلوکزامین و کندروئیتین ممکن است در بهبود علائم آرتروز زانو مفید باشند. این مکمل‌ها معمولاً به منظور حفظ سلامتی غضروف و کاهش التهاب مورد استفاده قرار می‌گیرند.
  4. تزریقات محلی: تزریقات محلی مانند استروئیدها و اسید هیالورونیک می توانند در کاهش التهاب و درد مفاصل مفید باشند. این تزریقات معمولاً توسط پزشک انجام می‌شوند.
  5. آنالژزیک‌ها:رخی از داروهای آنالژزیک مانند ترامادول و کدئین می‌توانند در کاهش درد زانو مفید باشند. با این حال، استفاده از آنها باید تحت نظارت پزشک باشد، زیرا ممکن است عوارض جانبی داشته باشند و اعتیاد آفرین باشند.

تزریق ژل برای درمان آرتروز زانو

تزریق ژل به عنوان یک روش درمانی مورد استفاده قرار می‌گیرد برای کاهش درد و بهبود علائم آرتروز زانو. این روش معمولاً با نام “تزریق محلی” یا “تزریق مفصلی” شناخته می‌شود، در این روش، ژلی که حاوی موادی مانند هیالورونیک اسید است، به داخل مفصل زانو تزریق می‌شود.هیالورونیک اسید یکاده طبیعی است که در مفاصلبیعی وجود دارد و وظیفه حفظ لغزندگی روانی مفاصل را دارد؛ تزریق ژل هیالورونیک اسید به زانو باعث افزایش لغزندگی مفصل، کاهش التهاب و درد، و بهبود عملکرد زانو می‌شود. این روش معمولاً برای بیمارانی که به داروهای خوراکی و فیزیوتراپی پاسخ نمی‌دهند یامی‌توانند از آنها استفاده کنند، توصیه می‌شود. معمولاً برای درمان این بیماری، ژل به صورت سری از تزریقات تجویز می‌شود. تعداد و فاصله بین تزریقات بستگی به وضعیت شما توصیه پزشک دارد.

تزریق پی آر پی (prp) برای درمان آرتروز زانو

تزریق پلاسمای غنی از پلاکت (PRP) یک روش درمانی است که در برخی موارد برای رهایی از این بیماری استفاده می‌شود. PRP از خون بیمار استخراج می‌شود حاوی غلظت بالای پلاکت‌ها است که عامل رشد و فاکتورهای التهابی را شامل می‌شود، هدف اصلی تزریق PRP در درمان آرتروز زانو، تحریک فرآیندهای بهبودی طبیعی بدن است. با تزریق PRP به منطقه آسیب دیده در زانو، عوامل رشد و فاکتورهای التهابی به منطقه مورد نیاز تأمین می‌شوند. این مواد می‌توانند بهبود در التهاب و ترمیم بافت زانو را تسریع کنند؛ اگرچه تزریق PRP ممکن است برای برخی افراد موثر باشد، اما نتایج آن ممکن است بین افراد متفاوت باشد. همچنین، تزریق PRP معمولاً به تنهایی به عنوان روش درمانی اصلی برای این بیماری استفاده نمی‌شود و ممکن است با سایر روش‌های درمانی مانند فیزیوتراپی، داروها و تغییرات در سبک زندگی ترکیب شود.

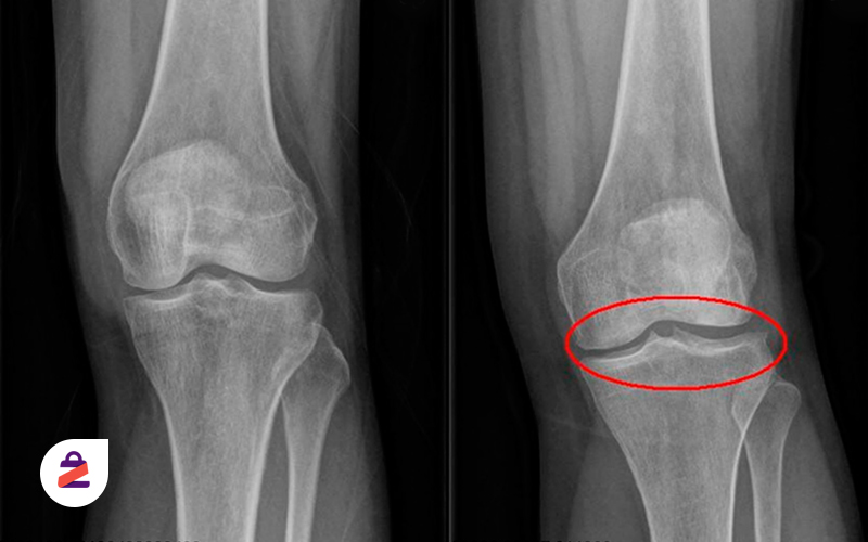
تصویر رادیولوژی از یک آرتروز زانو

درمان‌های جراحی آرتروز زانو شامل چه مواردی است؟

در صورتی که درمان‌های غیرجراحی برای آرتروز زانو موثر نباشند یا وضعیت شما بهبود نکند، پزشک ممکن است تصمیم بگیرد روش جراحی را برای درمان آرتروز زانو شما انتخاب کند. در زیر، چندین روش جراحی معمول برای درمان آرتروز زانو ذکر شده است:

درمان آرتروز زانو با جراحی استئوتومی زانو

یک روش جراحی است که برای درمان آرتروز زانو استفاده می‌شود. در این روش، بخشی از مفصل زانو که تحت تأثیر آرتروز قرار گرفته است، جایگزین می‌شود. زمانی که استئوتومی زانو انجام می‌شود، جراح یک بخش از سطح مفصل زانو را برداشت می‌کند و سپس یک پروتز مصنوعی را در محل قدیمی وارد می‌کند. پروتزهای زانو به طور کلی از بخش‌های فلزی و پلاستیکی تشکیل شده اند که بازسازی ساختار طبیعی زانو را تقلید می‌کنند. عملیات استئوتومی زانو به پیوندهای برخی از استخوان‌ها و عضلات نیاز دارد تا پروتز در جای خود استقرار یابد و عملکرد طبیعی زانو را برگرداند. قبل از جراحی، پزشک شما به دقت تشخیص می‌دهد که آیا استئوتومی زانو برای شما مناسب است یا خیر. این وابسته به وضعیت شما و شدت آرتروز زانویتان است. علاوه بر این، پزشک نیاز به انجام بررسی‌های قبل از جراحی، مانند آزمایشات خون و آزمون‌های تصویربرداری ممکن است داشته باشد. بعد از عمل استئوتومی زانو، فرایند بازگشت به وضعیت عادی ممکن است وقت ببرد. استفاده کامل زانو پس از جراحی معمولاً مدت زمان طولانی (چند ماه تا یک سال) طول می‌کشد و فیزیوتراپی و تمریناتی خاص می‌توانند برای بهبود عملکرد زانو و بازیابی تحرک آن کمک کنند.

جراحی آرتروسکوپی زانو برای درمان آرتروز زانو

جراحی آرتروسکوپی زانو یک روش جراحی مینیمالیستی است که برای درمان آرتروز زانو استفاده می‌شود. در این روش، جراح از طریق چند سوراخ کوچک در پوست وارد مفصل زانو می‌شود و از یک دستگاه آرتروسکوپ (یک نوع ابزار دقیق و نورانی که به طور معمول از طریق یک نمایشگر نمایش داده می‌شود) استفاده می‌کند تا بخش‌های مختلف مفصل را مشاهده و درمان کند. در جراحی آرتروسکوپی زانو، پزشک ممکن است ترمیم کننده‌های مفصلی را بهبود دهد، ضایعات کمتری ایجاد کند و زمان بهبود و بازگشت به فعالیت معمولی را کاهش دهد. این روش معمولاً در موارد آرتروز محدود شده به یک بخشی از زانو ، ترمیم و حفظ بافت‌های سالم ، ترمیم ترک‌ها یا ضایعات غضروفی ، ترمیم روند مفصلی یا تعویض یا حذف قسمتی از مفصل زانو به منظور کاهش درد و بهبود عملکرد زانو استفاده می‌شود. همچنین جراحی آرتروسکوپی زانو معمولاً با بازگشایی کمتر، خونریزی کمتر و زمان بهبود و بازگشت به فعالیت معمولی کوتاهتری همراه است. با این حال، هر فرد و شرایط آرتروز می‌تواند متفاوت باشد و نیاز به ارزیابی دقیق از طرف یک پزشک تخصصی دارد تا به روش درمان مناسب برسید.

تصویری از آنوتومی آرتروز زانو

درمان‌های خانگی آرتروز زانو

آرتروز زانو یا آرتریت یک بیماری التهابی مزمن است که با تخریب طبیعی غضروف زانو همراه است. درمان‌های خانگی ممکن است به عنوان تکمیل درمان‌های پزشکی اصلی استفاده شوند و می توانند به کاهش درد، التهاب و بهبود عملکرد زانو کمک کند. در هر صورت، قبل از استفاده از هر درمانانگی، بهتر است با پزشک خود مشورت کنید تا اطمینان حاصل کنید که آن مناسب شماست و باایر درمان‌هایی که در حال انجام هستید تداخل ندارد.

در ادامه، چند روش درمان خانگی آرتروز زانو را بررسی می‌کنیم:

  1. وزن کاهشی: اگر دارای اضافه وزن هستید، کاهش وزن می‌تواند فشار زیادی راز زانوها بردارد و به کاهش درد و التهاب کمک کند.
  2. ورزش منظم: انجام تمریناتی که عضلات پیرامون زانو را تقویت می‌کند، می‌تواند استحکام و پایداری زانو را افزایش داده و بهبود درد و عملکرد زانو را به همراه داشته باشد. بهتر است قبل از شروع هر برنامه ورزشی با پزشک یا متخصص فیزیوتراپی مشورت کنید.
  3. استفاده از گرما و سرداست: استفاده از کمپرس گرما (مثلاً حوله گرم) می‌تواند به کاهشد و سفتی عضلات کمک کند. همچنین، استفاده از کمپرس سرد است (مثلاًاکت یخ) می‌تواند التهاب را کاهش داده و درد را تسکین دهد. اما توجه داشته باشیده این روش‌هاا برای مدت کوتاهی و به تعداد محدودی استفاده کنید و از آنها بیش از حد استفاده نکنید.
  4. ماساژ: ماساژ رام و دقیق در منطقه زانو می‌تواند به کاهش درد و سفتی عضلات کمک کند. با این حال، قبل از شروع ماساژ، بهتر است با یک متخصص ماساژ مشورت کنید تا روش صحیح را یاد بگیرید.

زانوبند زاپیامکس

زانوبند زاپیامکس (Zapiamax)، محصولی ساخت شرکت آلمانی Zaistronic، با فناوری ترکیبی UIC—شامل امواج اولتراسوند، مادون‌قرمز و پالس الکتریکی (Clock Pulse)—یک راهکار غیرتهاجمی درمان درد زانو محسوب می‌شود. این تکنولوژی سبب افزایش گردش خون عمیق، کاهش التهاب بافتی و تحریک ترمیم سلولی در مفصل زانو می‌شود. زاپیامکس برای تسکین درد ناشی از آرتروز، پارگی مینیسک، بورسیت، یا گرفتگی عضلانی طراحی شده و استفاده در منزل بدون نیاز به نظارت پزشکی را امکان‌پذیر می‌سازد. با خرید زانوبند زاپیامکس میتوانید یک درمان راحت و بدون درد را تجربه بکنید .

انجام فیزیوتراپی در درمان آرتروز زانو

فیزیوتراپی یک روش درمانی غیر دارویی است که معمولاً به عنوان بخشی از برنامه درمانی برای این بیماری استفاده می شود. هدف اصلی فیزیوتراپی در درمان آرتروز زانو، کاهش درد، بهبود عملکرد زانو و افزایش قدرت عضلات است.

درمان فیزیوتراپی برای آرتروز زانو ممکن است شامل موارد زیر باشد:

  1. تمرینات تقویتی: تمریناتی که به تقویت عضلات پیرامون زانو کمک می کنند. این تمرینات می توانند شامل تمرینات ایستا و تمرینات با وزنه باشند.
  2. تمرینات انعطاف‌پذیری: تمریناتی که به افزایش انعطاف‌پذیری و محدودیت حرکت در زانو کمکی کنند. این تمرینات می توانند شامل تمرینات خم شدن و دراز کشیدن زانو باشند.
  3. تمرینات تعادل و کنترل حرکتی: تمریناتی که به بهبود تعادل و کنترل حرکتی زانو کمک می کنند. تمرینات می توانند شامل تمرینات بر روی صفحه نرم، توپ تعادل و تمرینات پیچشی باشند.
  4. درمان فیزیکال: استفاده از روش‌های فیزیکال مانند بستر گرم، بستر سرد، ماساژ و الکتروتراپی برای کاهش درد و التیام بافت های آسیب دیده.
  5. آموزش و توجیهات: فیزیوتراپیست ممکن است به شما توجیهاتی در مورد نحوه استفاده از وسایل کمکی مانند قرقره، عصا یا کفش های ویژه بدهد. همچنین، راهنمایی در مورد فعالیت های روزمره و تغییرات در روش زندگی می تواند مفید باشد.

مهم است که برنامه فیزیوتراپی شما توسط یک فیزیوتراپیست مجرب و با توجه به شرایط خاص شما تنظیم شود. قبل از شروع هر برنامه درمانی، بهتر است با پزشک خود مشورت کنید تا بتوانید بهترین روش درمانی را برای آرتروز زانو خود انتخاب کنید.

آیا کسانی که آرتروز زانو دارند می توانند پیاده روی کنند؟

پیاده روی برای افراد مبتلا به از آرتروز زانو توصیه می شود زیرا تاثیر کمی بر روی تشدید آرتروز زانو می گذارد، راه رفتن باعث انعطاف پذیری مفاصل زانو می شود و به سلامت استخوان های زانو کمک می کند و خطر پوکی استخوان را کاهش می دهد.

آیا آرتروز زانو قابل درمان است؟

آرتروز زانو زمانی اتفاق می افتد که غضروف مفصل زانو شکسته می شود و استخوان ها را قادر می سازد به هم ساییده شوند. اصطکاک باعث می شود زانوهای شما دردناک، سفت و گاهی متورم شوند. در حالی که آرتروز در زانو قابل درمان نیست، درمان های زیادی برای کاهش سرعت پیشرفت آن و کاهش علائم وجود دارد.

دیدگاهتان را بنویسید

نشانی ایمیل شما منتشر نخواهد شد. بخش‌های موردنیاز علامت‌گذاری شده‌اند *